Victor Ng, BSc.
Medical Student
University of Western Ontario
London, Ontario, Canada
AND
Leonard Peress, MD, FRCP (C)
Respiratory Staff Physician
Scarborough General Hospital, Toronto, Ontario, Canada
AND
Susan M Tarlo, MB BS, FRCP (C)
Gage Occupational and Environmental Health Unit
Toronto Western Hospital and Department of Medicine
University of Toronto
Case History
A 41 year old female, non-asthmatic, 20 pack-year smoker, worked for several years in a plant that manufactured controls for heating systems. She was moved to a new department within the plant where her job duties included inserting metal springs into plastic switches in the assembly of thermostats (Figure 1). On her first day of work in this new job area, after her break, she felt feverish and developed sudden onset of severe shortness of breath and cough. She was then taken to the emergency room.
Click on images to enlarge.
Figure 1: Plastic thermostat switch with metal spring inserted

On clinical examination, the patient was short of breath and coughing intermittently. She was afebrile with a blood pressure of 130/80. Heart sounds were normal with no audible murmurs, and no signs of cardiac failure. There was good chest expansion. Auscultation of the chest showed normal breath sounds; no audible wheezes or crackles were heard. Examination of the abdomen was unremarkable.
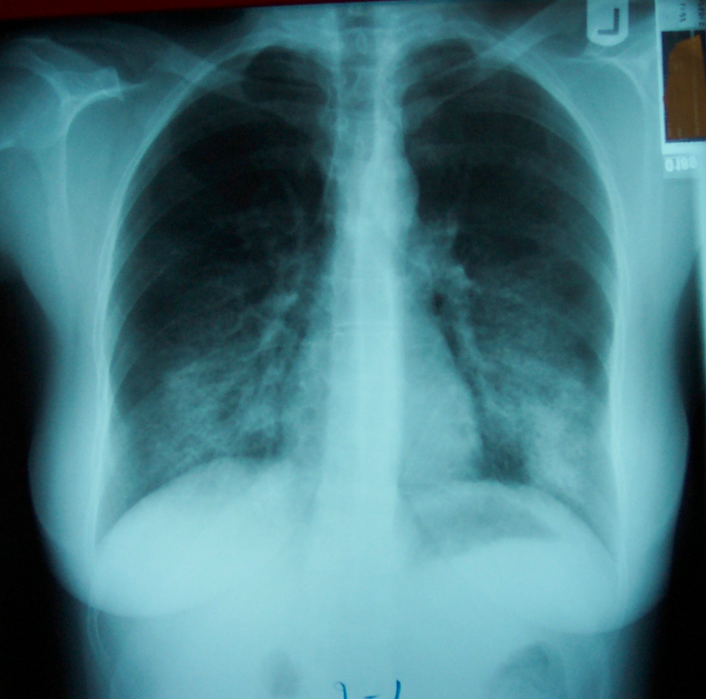
A chest radiograph showed extensive bilateral interstitial infiltrates (Figure 2).
Figure 2: Chest radiograph at initial presentation

Other investigations on admission: arterial blood gases showed a PaO2 of 54 mmHg and a PaCO2 of 30 mmHg. Hb was 14.5 g/dL and WBC was 8.2 x 109/L. ANA and Rheumatoid factor were negative.
Pulmonary function tests done the next day (Table 1) showed a mild obstructive ventilatory defect with FEV1 of 72 per cent predicted, but normal lung volumes apart from a mild increase in residual volume. There was a severe reduction in lung diffusion capacity at 41% predicted but adequate oxygen saturation on room air at 95%.
Table 1: Pulmonary function test results one day after episode
| Â | Measured | Predicted | Percent predicted |
| FVC | 2.53 | 3.13 | 81 |
| FEV1 | 1.75 | 2.43 | 72 |
| FEV1/FVC | 69 | 78 | 89 |
| TLC | 4.31 | 4.52 | 95 |
| RV | 1.71 | 1.39 | 123 |
| DLCO | 8.19 | 20.12 | 41 |
She was treated with antibiotics empirically, as well as supplemental oxygen. Within days she improved and her chest radiograph completely resolved by 4 days after onset (Figure 3).
Figure 3: Chest radiograph at follow-up, day 4

An occupational history revealed that the metal springs she worked with had been dipped in a chemical lubricant in a different work area of the plant, where they were dried for at least several days under a fume hood, before she handled them in the assembly area (Figure 4). Review of the Material Safety Data Sheets (MSDS) showed that the lubricant contained polytetrafluoroethylene (PTFE) compounds, and warned smokers about the health hazards associated with the contamination of cigarettes with PTFE. The patient did have a cigarette at her work break about an hour before her episode.
COMMENTS: Please send any comments to Akshay Sood, M.D., M.P.H.
SUGGESTED RESOURCES:
Centers for Disease Control and Prevention Morbidity and Mortality Weekly Report
REFERENCES:
- Rose CS and Blanc PD. Inhalation Fevers. In: Rom WN, editor. Environmental and Occupational Medicine, 3rd ed. Philadelphia: Lippincott-Raven Publishers; 1998. pp. 467-80.
- Shusterman DJ. Polymer fume fever and other fluorocarbon pyrolysis-related syndromes. Occupational Medicine: State of the Art Reviews 1993; 8(3):519-531.
- Harris DW. Polymer fume fever. Lancet 1951;261:1008-11.
- Brubaker RE. Pulmonary problems associated with the use of polytetrafluoroethylene. Journal of Occupational Medicine 1977; 19(10):693-5.
- Evans EA. Pulmonary edema after inhalation of fumes from polytetrafluoroethylene (PTFE). Journal of Occupational Medicine 1973; 15(7):599-601.
- Silver MJ, Young DK. Acute noncardiogenic pulmonary edema due to polymer fume fever. Cleveland Clinic Journal of Medicine 1993; 60(6):479-82.
- Lee CH, Guo YL, Tsai PJ, Chang HY, Chen CR, Chen CW, Hsiue TR. Fatal acute pulmonary oedema after inhalation of fumes from polytetrafluoroethylene (PTFE). Eur Respir J 1997; 10:1408-11.
- Lewis CE, Kerby GR. An epidemic of polymer fume fever. JAMA 1965; 191(5):103-6
- Welti DW, Hipp MJ. Polymer fume fever: Possible relationship to smoking. Journal of Occupational Medicine 1968; 10(11):667-71.
- Wegman DH, Peters JM. Polymer fume fever and cigarette smoking. Annals of Internal Medicine 1974; 81:55-7.
- Centers for Disease Control and Prevention (CDC). Polymer-fume fever associated with cigarette smoking and the use of tetrafluoroethylene--Mississippi. Morb Mortal Wkly Rep 1987; 36(31):515-6, 521-2.
- Touey GP, Mumpower RC. Measurement of the combustion zone temperature of cigarettes. Tobacco 1957; 144:18-22.
- Johnston CJ, Finkelstein JN, Gelein R, Baggs R, Oberdorster G. Characterization of the early inflammatory response associated with PTFE fume exposure. Toxicol and Applied Pharmacol. 1996;140:154-63.
- Clayton JW. Fluorocarbon toxicity and biological action. Fluorine Chemistry Reviews 1967; 1(2),197-252.
Question 1
Based on the case presentation, which one of the following is the most likely diagnosis?
- hypersensitivity pneumonitis
- community acquired pneumonia
- polymer fume induced acute lung injury
- occupational asthma
- polymer fume fever
Answer
The correct answer is C.
Polymer fume fever (an inhalation fever) is a flu-like illness caused by exposure to the pyrolysis products of fluoropolymers, most commonly PTFE (1,2). It was first described in 1951 (3). Patients often experience fever, chills, cough, and dyspnea. Physical signs in the lungs are usually absent, but inspiratory crackles may be heard. Chest radiograph is usually normal and symptoms are self-limiting (1,2).
Polymer fume-induced acute lung injury usually occurs with higher exposure (higher temperatures or more prolonged exposure times) to PTFE fumes, resulting in severe shortness of breath, diffuse bilateral infiltrates (noncardiogenic pulmonary edema) on chest radiograph, and hypoxia (4,5,6,7). Fatal acute pulmonary edema has been reported in one human case (5) and is not uncommon in exposed birds. Investigations can reveal leukocytosis with a leftward shift. Polymer fume fever and polymer fume-induced acute lung injury are diagnoses of exclusion. A thorough occupational history is important to make the proper diagnosis.
A number of case reports have linked smoking cigarettes with the development of polymer fume fever (8,9,10,11). When heated above 300°C, polytetrafluoroethylene (PTFE) is pyrolyzed to its degradation products, which can induce polymer fume fever or acute lung injury if the fumes are inhaled (1,2). The average burning zone temperature of a cigarette has been reported to be 884°C (12).
The patient in this case was instructed by her employer to wash her hands every time before leaving the work area, and she did so before her break on the day of her episode. However, it was discovered that the patient stored her cigarettes in a bag, which she kept in the area where she worked. It was speculated that the patient may have inadvertently contaminated her cigarettes in her work area.
Question 2
omePTFE compounds can be found in which of the following?
- nonstick cookware
- wire coatings
- mold-release agents
- waterproofing sprays
- all of the above
Answer
The correct answer is E.
Due to its strength, chemical inertness, and thermal stability, PTFE has various applications from electronics to insulation materials. In addition to the items listed above, PTFE can also be found in food processing equipment, linings and components of chemical processing equipment, and sheathing for wires and cables, among other uses.
Question 3
What is the usual course of polymer fume fever?
- progresses to respiratory failure in most cases and requires aggressive treatment
- usually resolves within 12-48 hours without treatment
- usually resolves in two weeks hours without treatment
- usually resolves after 6 weeks hours without treatment
- will resolve eventually without treatment, but there may be residual scarring of the lung
Answer
The correct answer is B.
Polymer fume fever is a self-limiting illness and usually resolves completely within 12 to 48 hours (1) without treatment or with supportive care only. Polymer fume-induced lung injury is more severe and although most cases resolve completely with supportive care and corticosteroids, there have been occasional reports of persistent lung disease or death (7).
The mechanism of polymer fume fever, as with other inhalation fevers is unknown but animal studies have shown predominant neutrophils in bronchoalveolar lavage, cytokine activation (IL-1, IL-6, TNF alpha) and antioxidants (manganese superoxide dismutase and metallothionein), as well as decreased expression of vascular endothelial growth factor (13).
Question 4
Appropriate recommendations for the patient include which one of the following?
- advise her to improve her workplace hygiene and refrain from smoking at work
- advise her to quit her job and find new employment
- advise her to take prednisone and continue her work at the facility
- advise her to wear a face mask during her work shift
- none of the above
Answer
The correct answer is A.
Cigarettes contaminated with as little as 0.4 mg of PTFE have been shown to cause polymer fume fever (14) and polymer fume-induced acute lung injury. Therefore, it is important for employees who work with PTFE compounds or who handle materials coated with PTFE to take proper care when leaving the work area. Hands should be washed thoroughly after leaving the work area and especially before smoking. If possible, protective gloves should be worn. The patient in this case was unable to wear gloves during her work because of the small parts and the delicate work of assembling the thermostats. She did note that she washed her hands before her break. However, by carrying cigarettes in her bag into the work area, she increased the risk of contamination.
In general, employers can help ensure a safe work area by properly educating their employees about the potential hazards of PTFE exposure and cigarette smoking. As well, strict guidelines about employee hygiene habits at the workplace and smoking should be implemented.

