Young Man with Recent Onset Hypertension and Acute Onset Dyspnea
Reviewed By Behavioral Science Assembly
Submitted by
David Horne, MD
Senior Pulmonary Fellow
University of Washington
Seattle, Washington
Michael S. Mulligan, MD
Associate Professor of Surgery
University of Washington
Seattle, Washington
Christopher H. Goss, MD, MSc
Associate Professor of Medicine
University of Washington
Seattle, Washington
Submit your comments to the author(s).
History
The patient is a 31-year-old man with a history of anxiety, depression, and recent onset hypertension who presented to the emergency department with tachycardia, chest pain, and hypoxia. He was seated when he felt the abrupt onset of palpitations. He checked his pulse and found it was over 150 beats/min. In the emergency department, he was dyspneic and described chest pressure. The patient had noted dyspnea on exertion prior to this acute event. He also noted a non-productive cough, night sweats, and right lower quadrant pain. Over the last 2 months, the patient had noted generalized weakness and malaise with easy fatigability. He denied any recent weight loss. He denied any recent travel, trauma, or surgery. He drank alcohol socially and has smoked marijuana daily for 3 months. His family history is significant for a pulmonary embolus in his maternal grandfather, myocardial infarction at age 41 and three-vessel coronary artery bypass graft surgery in his father, and lymphoma in his maternal uncle.
Medical History: Hypertension
Gastroesophogeal reflux disease
Depression and anxiety
Scalp alopecia
Physical Exam
The patient was a mildly tachypneic young man in no acute distress. He had no fever, a heart rate of 80 beats/min, a blood pressure of 123/79 mm Hg, and respiratory rate of 16 breaths/min. Oxygen saturation was 91 to 92% while breathing room air, and this increased to 94% on nasal cannula oxygen at 3 L/min. His neck veins were not elevated. His lung exam revealed decreased breath sounds on the right compared with the left, but no rales nor rhonchi. His cardiac exam revealed no murmur, rub, or gallop. He did have a physiologically split S2 heart sound. His abdominal exam revealed no hepatosplenomegaly, but he was tender to palpation in the right lower quadrant. His testicular exam was unremarkable. His skin exam was notable for diffuse raised thickened plaques on his scalp with patchy alopecia. His extremities were cool but well perfused. He had shotty groin adenopathy.
Empiric heparin for pulmonary embolism was started.
Lab
- Complete Blood Count: white blood cell count 7,600/mm3, hemoglobin 13.5 g/dL, hematocrit 40%, platelets 241,000/mm3
- Electrolytes and liver function tests were within normal limits, including creatinine of 1.0 mg/dL
- Coagulation: Prothrombin Time 13.3 sec, International Normalized Ratio 1.1
- Urine Analysis: negative for protein, blood, red blood cells or white blood cells
- D-dimer: negative
- Portable chest radiograph: No parenchymal infiltrates, no effusions, normal cardiac silhouette
- Electrocardiogram: Normal, without evidence of right ventricular hypertrophy or strain. No ischemic changes were noted.
- Echocardiogram: Left ventricular function was hyperdynamic, estimated ejection fraction was 70%, right ventricular function was normal, but hyperdynamic, mild to moderate tricuspid regurgitation, but otherwise normal valves.
Figures

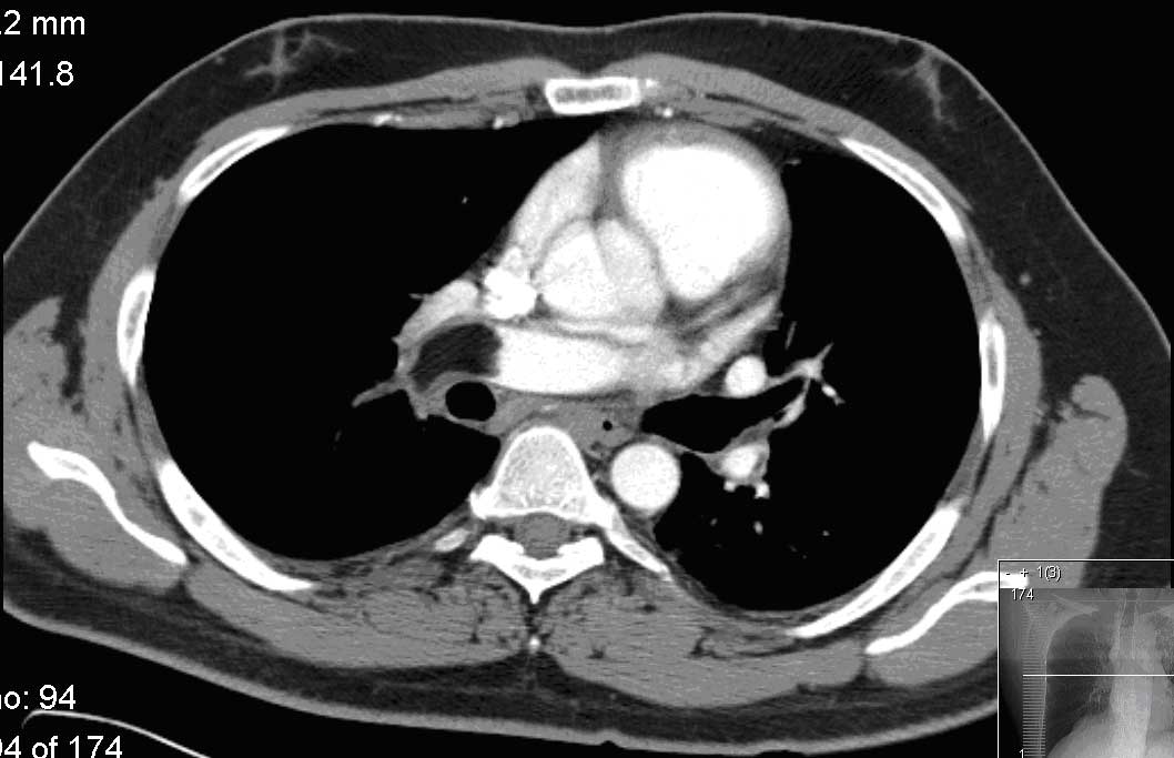
Computed tomography angiogram of the chest with intravenous iodinated contrast
D. The patient presented with acute dyspnea, mild hypoxemia, and constitutional symptoms. His D-dimer was negative but the computed tomography (CT) angiogram of his chest revealed an acute filling defect in the right pulmonary artery with the density of fat. The history and the density of filling defect argue strongly against an air embolism. The density of the acute filling defect is not consistent with a thrombus.
Atrial myxomas can embolize to the pulmonary artery or can act as a ball valve occluding the tricuspid or mitral valve (1). The majority of cardiac tumors are benign lesions; of these, the majority is atrial myxoma. Most atrial myxomas are located in the left atrium. In the current case, the fat density and location of the occluding abnormality (within the right pulmonary artery) is not consistent with an atrial myxoma. Lymphoma should present as adenopathy potentially compressing the pulmonary artery but not acting as a filling defect. A congenital abnormality of the pulmonary artery would not present as an acute filling defect.
The fat density acute filling defect seen in the pulmonary artery is most consistent with an acute tumor embolism from a primary tumor with a high proportion of fat (2, 3).
C. The next appropriate test would be a CT of the abdomen and pelvis to evaluate possible abdominal sources of tumor embolism. The most likely source for a tumor embolism is the abdomen. While chest MRI might clarify the filling defect and extent, it is best reserved for primary cardiac tumors or congenital anomalies of the mediastinal structures. A pulmonary arteriogram would add no new information to the current CT angiogram images. An alpha fetoprotein level would help diagnosis a germ cell tumor; the fat density of the lesion would be very uncharacteristic for this lesion.
An abdominal and pelvic CT was obtained. It revealed a predominantly fat density mass that measures 4.1 x 5.3 x 6.5 cm in superior pole of the left kidney with a feeding arterial vessel from the left renal artery. This mass invaded and filled the left renal vein and extended to the inferior vena cava (2, 3). No abdominal or pelvic lymphadenopathy was noted.
C. Roughly 10-20% of renal masses are benign tumors. The large left fatty renal mass is consistent with a unilateral renal angiomyolipoma (2, 3). Renal angiomyolipomas are the second most common benign tumor of the kidney. Although angiomyolipoma is the most common fat-containing lesion in the kidney, the presence of vascular invasion in this case raises the possibility of liposarcoma arising from the renal pelvis and extending into the kidney. Vascular invasion is reported in angiomyolimpomas but more commonly seen in renal cell carcinoma (4). Angiomyolipomas can have an absence of significant fat density on CT (5). The CT evidence presented is not suggested of metastatic adenocarcinoma given the lack of adenopathy nor involvement of the liver. Renal cell carcinoma has been reclassified into clear cell or relatively indolent papillary or chromophobe carcinomas. On CT, renal cell carcinoma is usually heterogenous with possible calcification. They can also be necrotic, hemorrhagic, or hypervascular with increased intensity after contrast injection. Oncocytomas are benign tumors of the kidney evolving from a central scar. A typical oncocytoma on CT is a well-defined, homogenous, low-density tumor with contrast enhancement less than normal renal tissue. They are the most common benign tumor of the kidney. Angiomyolipomas do present in cases of lymphangioleiomyomatosis (LAM) or tuberous sclerosis complex, but are characteristically bilateral. In this case, the most likely diagnosis is renal angiomyolipoma.
E. Renal angiomyolipomas are benign lesions. Adjuvant chemotherapy with resection, chemotherapy with radiation therapy, and palliative care are not appropriate therapies for this tumor. Immunotherapy with interleukin 2 therapy can be considered for metastatic renal cell carcinoma. If the renal angiomyolipoma is small, with characteristic CT-findings observation or CT guided biopsy may be appropriate (5).
In this particular case, given the size of the renal lesion with extension into the renal vein with tumor embolization to the right pulmonary artery, the patient went to nephrectomy with removal of the renal vein thrombus and thrombectomy of the tumor embolism in the right pulmonary artery. Pathology confirmed the diagnosis of benign angiomyolipoma.
D. Tumor embolisms are most likely to be caused by adenocarcinomas, most commonly breast, lung, or gastric carcinoma (6, 7). Most tumor embolisms are small; patients often present with progressive dyspnea in the setting of a known cancer diagnosis. Patients may eventually develop cor pulmonale and right heart failure due to multiple tumor emboli. Many patients with tumor emboli may initially be asymptomatic. Patients with massive tumor embolism, as in this case, present with symptoms indistinguishable from acute pulmonary embolism.
References
- Grebenc ML, Rosado-de-Christenson ML, Green CE, Burke AP, Galvin JR. Cardiac myxoma: imaging features in 83 patients. Radiographics 2002;22:673-689.
- Li G, Cuilleron M, Gentil-Perret A, Tostain J. Characteristics of image-detected solid renal masses: implication for optimal treatment. Int J Urol 2004;11:63-67.
- Zhang J, Lefkowitz RA, Ishill NM, Wang L, Moskowitz CS, Russo P, Eisenberg H, Hricak H. Solid renal cortical tumors: differentiation with CT. Radiology 2007;244:494-504.
- Islam AH, Ehara T, Kato H, Hayama M, Kashiwabara T, Nishizawa O. Angiomyolipoma of kidney involving the inferior vena cava. Int J Urol 2004;11:897-902.
- Milner J, McNeil B, Alioto J, Proud K, Rubinas T, Picken M, Demos T, Turk T, Perry KT, Jr. Fat poor renal angiomyolipoma: patient, computerized tomography and histological findings. J Urol 2006;176:905-909.
- Roberts KE, Hamele-Bena D, Saqi A, Stein CA, Cole RP. Pulmonary tumor embolism: a review of the literature. Am J Med 2003;115:228-232.
- Mutlu GM, Factor P. Pulmonary tumor embolism of unknown origin. Mayo Clin Proc 2006;81:721.