CWP is an interstitial lung disease that occurs due to the inflammatory reaction to inhaled coal mine dusts. When lung clearance mechanisms are overwhelmed, numerous black coal macules develop in the lung parenchyma adjacent to the respiratory bronchioles (1). As CWP progresses, the macules enlarge and develop into fibrotic coal nodules with associated emphysema. Radiographically, the pathologic changes of CWP manifest as small rounded opacities less than 10 mm in diameter. Historically, the opacities generally have generally appeared after at least 15-20 years of exposure, although there are recent reports of more rapidly progressive disease (2). The International Labor Office (ILO) has devised a classification system to describe and quantify the changes of pneumoconiosis on chest radiograph (3). The ILO classification scores the profusion (number of small pneumoconiotic opacities per unit area of lung) from 0 to 3. Early (category 1) CWP may produce few or no symptoms. However, dust exposure can also lead to chronic bronchitis (even in the absence of smoking tobacco), which results in cough, sputum production and wheeze. As CWP progresses, dyspnea becomes severe, and affected patients can develop cor pulmonale, respiratory failure and death (4, 5).
Although silicosis can be a more rapidly developing disease which occurs in underground coal miners, the specific mining job of this patient does not involve activities (e.g., drilling or roof bolting) that typically generate exposure to airborne silica. However, mining of thin coal seams can create silica exposures in general mining activities, as performed by this worker. Asbestosis typically causes interstitial lung changes that are more pronounced in the lower lung zones, and have a more reticular rather than nodular appearance. Although both COPD and CWP can cause changes of obstruction and hyperinflation on a chest radiograph, the small nodules seen on this patient’s chest radiograph would not be typical for COPD. Lung cancer can cause multiple pulmonary nodules, but the time course and clinical picture in this patient are more consistent with CWP.
History Continued:
The patient ceased employment in 1997 due to a back injury, after having worked 21 years in the mines.
He was seen with worsening dyspnea in 2000, at the age of 41.
He denies any other complaints, such as fevers, chills or sputum production.
Pulmonary function tests (PFTs) showed an FEV1 of 58% predicted and an FVC of 74% predicted.
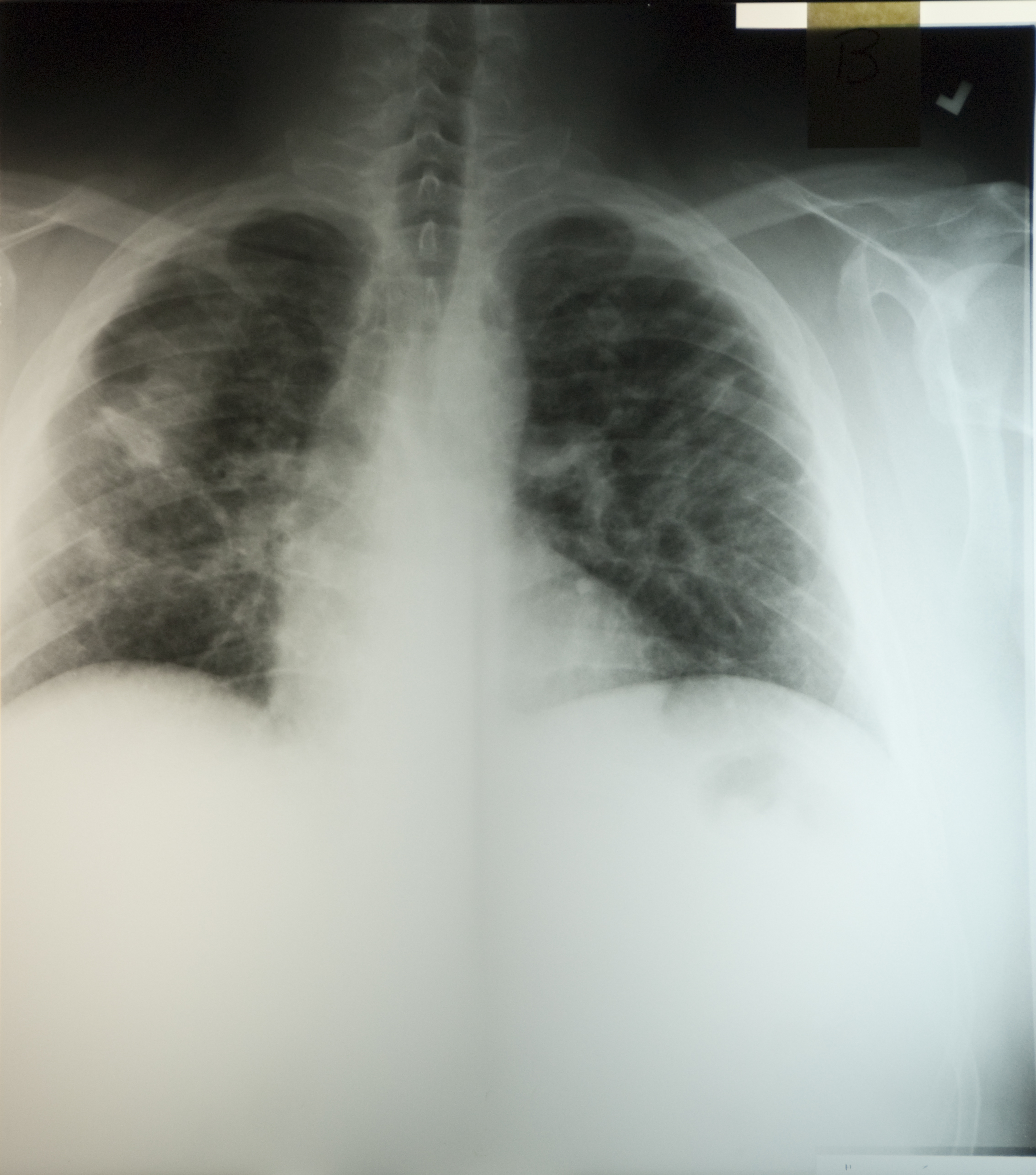
A chest radiograph was taken at that time (Figure 1.3).

Figure 1.3
Both coal and silica dust exposures trigger inflammation of the airways and the interstitium, and pneumoconiosis can continue to progress for years after termination of all dust exposure (1). This is one reason why primary prevention through dust control is critical. Inflammatory nodules can coalesce to form PMF (also called complicated pneumoconiosis), which is recognized on the chest radiograph as one or more lesions 10mm in diameter or greater. After PMF develops, the fibrosis and associated emphysema often progress even without further dust exposure, as was the case with this patient. Adjacent lung parenchyma is pulled towards the lesions, which most typically occur in the upper lung. The large airways are distorted as lung volume is lost and lung function may show obstructive and/or restrictive impairments.
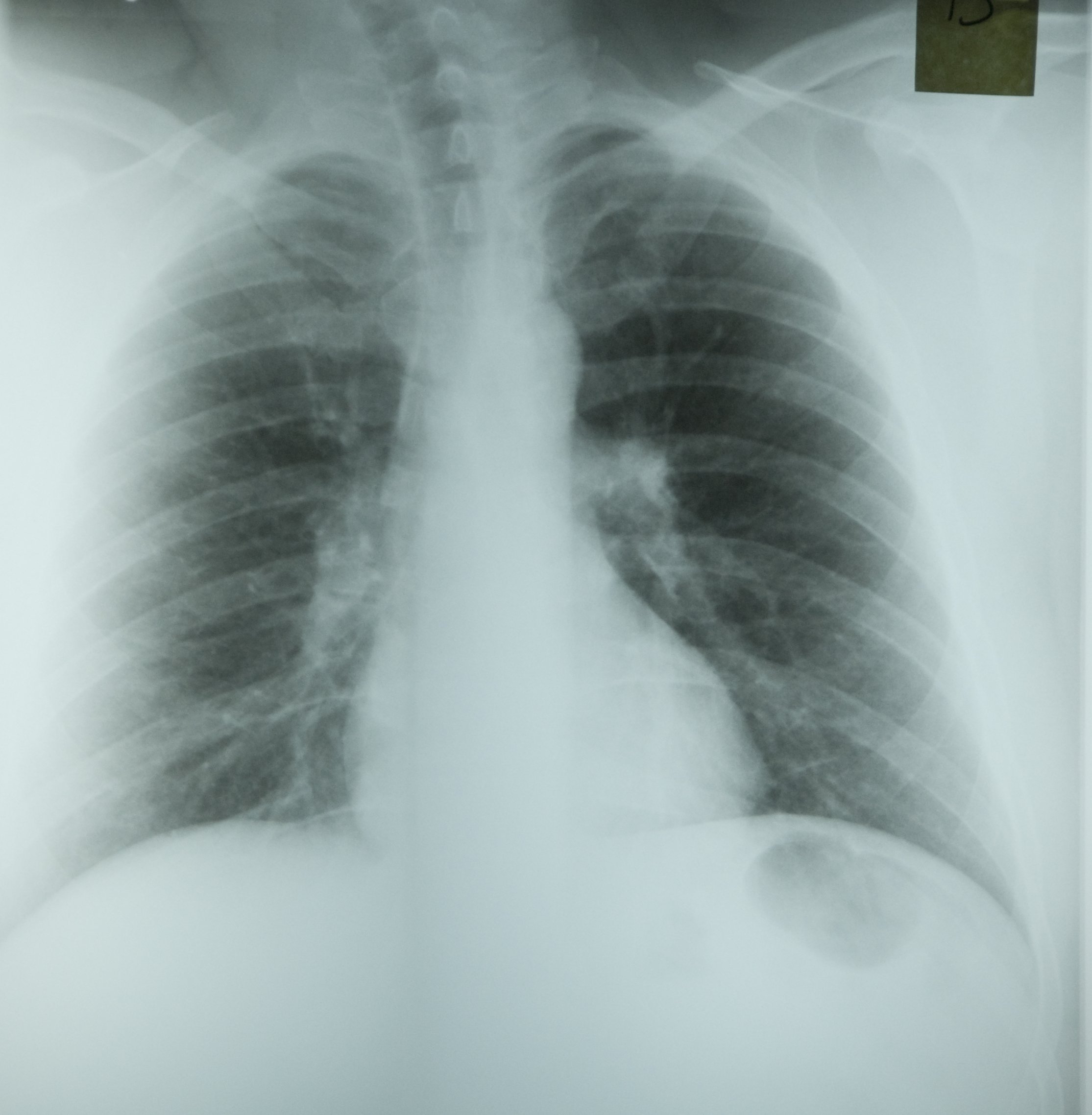
An enlarging PMF lesion can be difficult to distinguish from malignancy, particularly if unilateral. Silica dust exposure is known to increase the risk of primary lung cancer Also, PMF lesions are frequently PET-positive, which can add to the diagnostic confusion (6). However, the bilateral masses on this nonsmoking patient’s chest radiograph are typical of PMF, and his clinical course makes primary or secondary lung cancer unlikely.
Exposure to silica dusts increases the risk of developing TB and nontuberculous mycobacterial infections (7). This is likely due to a dysfunction in cellular immunity. Miners who have inhaled excessive respirable silica and are subsequently exposed to mycobacteria are more likely to develop active disease. Although mycobacterial disease should be considered in this patient, there is no cavitation and the radiographic appearance is more typical of CWP than TB.
Arteriovenous malformations can present as large masses, typically in the lower lung zones. They are usually accompanied by feeder vessels that can sometimes be identified on a chest radiograph. Bilateral upper lung zone lesions, as seen in this case, are not suggestive of AV malformations.
History Continued:
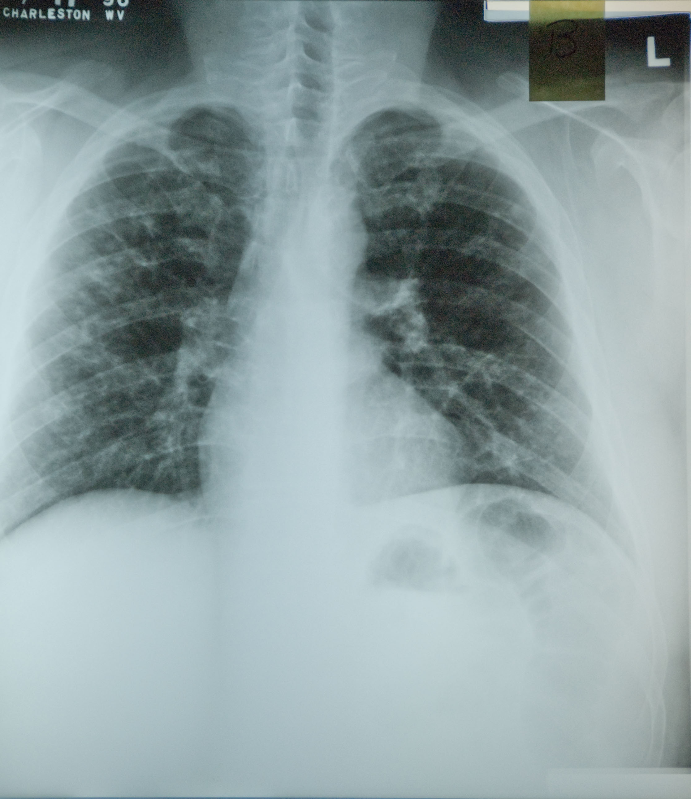
Over the next four years, the patient’s dyspnea progressively worsened, and he died in 2004 at the age of 45 from respiratory failure secondary to coal workers’ pneumoconiosis with PMF.
Advanced CWP, defined as ILO category 2 or greater, is caused by excessive exposure to respirable coal and/or silica dusts, and greatly increases the risk of development of PMF and important physiologic impairment (8). As part of the Federal Coal Mine Health and Safety Act of 1969, coal mine operators are required to observe a permissible exposure limit (PEL) for respirable dust of 2.0 mg/m3 (9) . The goal of this dust limit is not only to decrease the overall incidence of CWP, but also to decrease the incidence of advanced CWP to nearly zero, and thus prevent miners from developing PMF. However, a small proportion of miners have been observed to develop PMF with an underlying profusion category of 1 or 0 and thus PMF was not completely prevented (10).
A number of studies have shown that PMF development is not accelerated by tobacco smoking, nor is it dependent on Mycobacterial infection. Most operating coal mines are highly mechanized, which generally has reduced work intensity during mine work, but also results in high rates of dust generation.
As discussed above, CWP can develop with essentially no symptoms. For this reason, under the 1969 law, screening chest radiographs are required to be made available at no cost to the miner every five years of underground work. The overall screening rate is approximately 31%, a though participation rates vary greatly from state to state (11, 12). Of the 37 miners with advanced CWP recently reported from the Enhanced Coal Workers’ Health Surveillance Program (ECWHSP), all miners had a period of at least 10 years where no screening CXR was obtained (13). Missed screening examinations reduce the opportunities for preventive efforts. In this miner with rapid disease progression, it is unclear whether early detection would have influenced his clinical outcome.
Once CWP is documented on chestradiograpg, it is required by law for the miner to be offered the opportunity for frequent dust monitoring and transfer to a job with dust exposures less than 1mg/m3, if available at the mine. It is not required for the miner to actually accept the monitoring or job transfer (9). Many miners voice fears of losing their job when their employer is notified that they have an occupational lung disease. Miners also have concerns about losing eligibility for workers’ compensation if they participate in screening.
Most coal miners are exposed to various types of dust in the mines and it is difficult in an individual worker to differentiate the type of dust causing pneumoconiosis from chest radiograph abnormalities alone.
The improved air quality in the mines did reduce the number of miners developing advanced CWP during the 1970s and 1980s, but not to zero (11, 14).
However, recent trends are not encouraging. Although the reported dust measurements remain low, the prevalence of CWP has been increasing since about 2000 (15). About 10% of miners examined between 2000-2008 with at least 30 years work tenure showed radiographic CWP. Recently (since 1985), a high proportion of coal miners in some states have developed a rapidly progressive form of CWP, which is manifest as an increase in the small opacity profusion by at least one minor category in less than five years (2). Geographic clustering of CWP (including PMF) has been observed; miners in the cluster areas demonstrated more rapid progression and a higher proportion of advanced CWP.
Based on these reports, the Enhanced Coal Workers’ Health Surveillance Program (ECWHSP) was initiated, utilizing a mobile examination unit in areas which show rapid disease progression. New cases of advanced pneumoconiosis were recognized in miners as young as 39 years old (14). Of the miners with PMF, about 40% had jobs traditionally associated with high silica dust exposure. Taken together, the studies suggest a recent change in the incidence and progression of CWP in the US. This is a great public health concern, because advanced CWP and PMF is often a disabling lung disease, and leads to cor pulmonale, respiratory failure and death.
As described above, there has been a reemergence of advanced and rapidly progressive pneumoconiosis among coal miners in the US. Despite this recent change in the epidemiology of CWP, the average respirable dust levels in samples submitted by coal mining companies has not changed appreciably.
There are many possible reasons for the increases in CWP and the causes are likely multifactorial. Previously, silicosis was seen primarily in specific jobs, such as drilling and roof bolting. As thicker coal seams are being depleted, thinner seams are being mined. It is suspected that mining of thinner coal seams, which occurs principally in Kentucky, Virginia and West Virginia, may be contributing to the increase in CWP. The inhaled dust may contain more of the adjacent rock including respirable silica and silicates, making it more toxic to lung tissue and stimulating a more vigorous inflammatory response. This could explain why coal miners working in jobs that were not previously associated with silica exposures are developing advanced pneumoconiosis (13).
Although it is likely that increased silica dust exposure explains in part the recent upsurge in CWP (16), other factors may also be contributing. A second plausible explanation is increases in hours worked by miners each week. The original dust limit of 2mg/m3 was based on a 40 hour work week. Federal statistics indicate that miners are working progressively longer hours than previously (17). Even with stable dust exposures, longer work hours result in an overall increase in the amount of coal mine dust the miner inhales, as well as a decreased amount of time for clearance of the dust from the miner’s lungs.
In 1995, the National Institute for Occupational Safety and Health (NIOSH) reviewed the evidence and stated that the PEL of 2 mg/m3 was inadequate in protecting miners from the development of occupational lung disease. The Institute recommended exposure to respirable coal mine dust exposure be limited to 1 mg/m3. The lower limit, which has not been adopted, was intended to reduce the prevalence of all dust-related lung diseases in coal miners (18).