Clinical Cases

HomeProfessionalsClinical ResourcesClinical Cases ▶ Hoarseness and Hemoptysis in a 28-Year-Old Pregnant Woman
Hoarseness and Hemoptysis in a 28-Year-Old Pregnant Woman

Reviewed By Behavioral Science Assembly

Submitted by

Martha E. Billings, MD

Senior Fellow Pulmonary Critical Care Medicine

University of Washington

Seattle, Washington

Christopher Goss, MD, MPH

Associate Professor Division of Pulmonary Critical Care

University of Washington

Seattle, Washington

Submit your comments to the author(s).

History

The patient is a 28-year-old pregnant woman who presented to the emergency room with a several-week history of cough and progressive shortness of breath. The patient initially thought she was suffering from an upper respiratory infection, as her 4-year-old son had some cough and rhinitis symptoms. However, her symptoms progressed and persisted over 2 weeks. She subsequently developed severe sinus pain and congestion and progressive hoarseness.  A few days prior to her presentation to the emergency room, she began coughing up bloody, mucoid sputum, and had marked dyspnea.  She noted low-grade fevers but no weight loss.  She also had developed new nodular rashes over her elbows and knees.  She had no chest pain, asymmetric lower extremity swelling, or arthritis.  She denied frank hematuria or vaginal bleeding. She had no recent travel, no prolonged immobility, and has lived only in Southern California.  She has never smoked.  She worked in the home caring for her son and has no exposure history.  She took only prenatal vitamins and denied illicit drug use.

Medical History
G2P1: 19 weeks pregnant
Pre-eclampsia with prior pregnancy

Lab

  • Complete Blood Count: WBC 9,300/mm3, hemoglobin 7.1g/dL, hematocrit 23%, platelets 331,000/mm3, MCV 101 fL
  • Electrolytes and liver function tests were within normal limits, including creatinine of 0.7 mg/dL
  • Arterial Blood Gas: pH 7.46, PaCO2 30 mm Hg, PaO2 78 mm Hg on 15L face mask
  • Coagulation: PTT 23 s, INR 1.0
  • Urine Analysis: 1+ protein, 2+ blood, 6-10 RBC, no WBC
  • HIV test negative

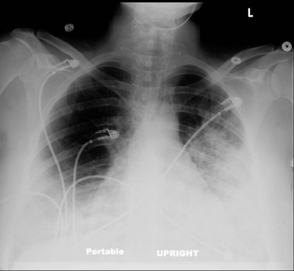
Figures


Chest Radiograph

Question 1

What is the most likely diagnosis?

References

  1. Auzary C, et al. Pregnancy in patients with Wegener's granulomatosis: report of five cases in three women. Ann Rheum Dis 2000;59(10):800-4.
  2. Geterud A, et al. Severe airway obstruction caused by laryngeal rheumatoid arthritis. J Rheumatol 1986;13(5):948-51.1.
  3. Karim MY, et al. Presentation and prognosis of the shrinking lung syndrome in systemic lupus erythematosus. Semin Arthritis Rheum 2002;31(5):289-98.
  4. Specks U. Diffuse alveolar hemorrhage syndromes. Curr Opin in Rheum 2001 13:12-17.
  5. Green RJ, et al. Pulmonary capillaritis and alveolar hemorrhage: update on diagnosis and management. Chest 1996;110(5):1305-16.