Reviewed By Critical Care Assembly
Submitted by
Maryum Merchant, M.D.
Fellow, Pulmonary/Critical Care Medicine
Division of Pulmonary and Critical Care Medicine
Cedars Sinai Medical Center
Los Angeles, CA
David Gum-Tong Ng, M.D.
Attending Physician
Division of Pulmonary and Critical Care Medicine
Cedars Sinai Medical Center
Los Angeles, CA
Sara Ghandehari, M.D.
Director, Outpatient Pulmonary Rehabilitation
Assistant Director, Lung Transplant Program, Assistant Professor of Medicine, Cedars Sinai Medical Center
Women's Guild Lung Institute, Division of Pulmonary and Critical Care Medicine, Cedars Sinai Medical Center
Los Angeles, CA
Submit your comments to the author(s).
History
A 59 year- old man with recent lumbar decompression surgery was admitted at a local community hospital with cough and a cavitary right lung mass on chest imaging. His work-up included a CT guided biopsy of the lung mass which demonstrated suspicious cells concerning for malignancy. Prior to a follow-up appointment with his pulmonologist, he presented to our hospital with subjective fevers, chills, back pain and increased drainage from his lumbar wound. His review of systems was positive for occasional dry non-productive cough, improved from his previous admission. He denied shortness of breath at rest, dyspnea with exertion, wheezing, hemoptysis or chest pain.
His past medical history was remarkable for history of lumbar stenosis with multiple back surgeries, hypertension and diabetes.
His medications prior to admission included lisinopril and gabapentin.
He was a lifelong non- smoker and worked as a water well driller.
Physical Exam
Lab
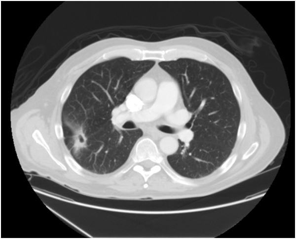
A chest CT scan was repeated this admission which revealed a 2 cm cavitary mass in the right mid lung with a thick wall and spiculations extending to the pleural surface.
An abdominal and pelvic CT scan was unremarkable.
Hospital course:
Patient recovered well from his postoperative lumbar wound infection with antibiotics. His microbiology specimens (blood and sputum cultures and serology for Mycoplasma, Legionella, viruses, fungi) were negative.
Because of the concern for malignancy, a video-assisted thoracoscopic (VATS) wedge resection was performed. The resected nodule on gross inspection was found to be a 2.6 x 1.7 x 0.8 cm firm intraparenchymal nodule with a gray-tan solid cut surface and central 0.5 x 0.4 x 0.3 cm cavity space. Microscopic examination revealed intrabronchiolar aggreg ates of fibroblastic tissue and mononuclear cells invading alveolar spaces, as well as presence of multinucleated giant cells with no evidence of organisms on acid fast or Gie msa staining.
References
- Ryu JH, Myers JL, Swensen SJ. Bronchiolar disorders. Am J Respir Crit Care Med 2003; 168:1277–1292
- Ryu JH. Classification and approach to bronchiolar diseases. Curr Opin Pulm Med 2006; 12:145–151
- Melloni G, Cremona G, Bandiera A, et al. Localized organizing pneumonia: report of 21 cases. Ann Thorac Surg 2007; 83:1946–1951
- Cordier JF. Organizing pneumonia. Thorax 2000;55:318 –28.
- Epler GR. Bronchiolitis obliterans organizing pneumonia. Arch Intern Med 2001; 161:158–64.
- Charcot JM. Des pneumonies chroniques. Rev Mensuelle Med Chir 1878; 2:776–790
- Tripier R Traité d’anatomie pathologique général. Masson, Paris 1904
- Floyd R. Organization of pneumonic exudates. Am J Med Sci 1922;163: 527–548
- Basset F, Ferrans VJ, Soler P, Takemura T, Fukaoa Y, Crystal RG. Intraluminal fibrosis in interstitial lung disorders. Am J Pathol 1986; 122:443– 461
- Fukuda Y, Ferrans VJ, Schoenberger CI, Rennard SI, Crystal RG. Patterns of pulmonary structural remodeling after experimental paraquat toxicity. Am J Pathol 1985; 118:452– 475
- Nozawa Y. Histopathological findings of the lung in collagen diseases especially on their differential diagnosis. Acta Pathol Jap 1972; 22:843–858
- Davison AG, Heard BE, McAllister WA, Turner-Warwick ME. Cryptogenic organizing pneumonitis. Q J Med 1983; 52:382–394
- Epler GR, Colby TV, McLoud TC, Carrington CB, Gaensler EA. Bronchiolitis obliterans organizing pneumonia. N Eng J Med 1985; 17:152–158
- American Thoracic Society/European Respiratory Society. International Multidisciplinary Consensus Classification of the Idiopathic Interstitial Pneumonias. Am J Respir Crit Care Med 2002; 165: 277–304
- King TE Jr. BOOP: an important cause of migratory pulmonary infiltrates? Eur Respir J 1995; 8: 193–195.
- Lee KS, Kullnig P, Hartman TE, Muller NL. Cryptogenic organizing pneumonia: CT findings in 43 patients. Am J Roentgenol 1994; 162: 543– 546.
- Haddock JA, Hansell DM. The radiology and terminology of cryptogenic organizing pneumonia. Br J Radiol 1992; 65: 674–680.
- Maldonado F, Daniels CE, Hoffman EA, et al. Focal organizing pneumonia on surgical lung biopsy: causes, clinicoradiologic features, and outcomes. Chest 2007; 132:1579–1583
- Asad S, Aquino SL, Piyavisetpat N, Fischman AJ. False positive FDG positron emission tomography. Uptake in nonmalignant chest abnormalities. Radiology 2004;182:983–989
- Flowers JR, Clunie G, Burke M, et al. Bronchiolitis obliterans organizing pneumonia: the clinical and radiologic features of seven cases and a review of the literature. Clin Radiol 1992;45: 371–377
- Froudarakis M, Bouros D, Loire R, et al. BOOP presenting with hemoptysis and multiple cavitary nodules. Eur Respir J 1995; 8:1972–1974
- Haro M, Vizcaya M, Texido A, et al. Idiopathic bronchiolitis obliterans organizing pneumonia with multiple cavitary lung nodules. Eur Respir J 1995; 8:1975–1977
- Domingo JA, Perez-Calvo JI, Carretero JA, et al. Bronchiolitis obliterans organizing pneumonia: an unusual cause of solitary pulmonary nodule. Chest 1993; 103:1621–1623
- Cordier JF, Loire R, Brune J. Idiopathic bronchiolitis obliterans organizing pneumonia: definition of characteristic clinical profiles in a series of 16 patients. Chest 1989; 96:999–1004
- Zackrison LH, Katz P. Bronchiolitis obliterans organizing pneumonia associated with essential mixed cryoglobulinemia. Arthritis Rheum 1993; 36:1627–1630
- Safadi R, Berkman N, Haviv YS, et al. Primary non-Hodgkin’s lymphoma of the lung presenting as bronchiolitis obliterans organizing pneumonia. Leuk Lymphoma 1997; 28:209–213
- Myers JL, Katzenstein AL. Ultrastructural evidence of alveolar epithelial injury in idiopathic bronchiolitis obliterans organizing pneumonia. Am J Pathol 1988; 132:102–109.
- Peyrol S, Cordier JF, Grimaud JA. Intra-alveolar fibrosis of idiopathic bronchiolitis obliterans-organizing pneumonia. Cell-matrix patterns. Am J Pathol 1990; 137:155–170, .
- Forlani S, Ratta L, Bulgheroni A, et al. Cytokine profile of broncho-alveolar lavage in BOOP and UIP. Sarcoidosis Vasc Diffuse Lung Dis 2002; 19:47–53
- Lappi-Blanco E, Kaarteenaho-Wiik R, Soini Y, Risteli J, Paakko P. Intraluminal fibromyxoid lesions in bronchiolitis obliterans organizing pneumonia are highly capillarized. Hum Pathol 1999; 30: 1192–1196.
- Lappi-Blanco E, Soini Y, Kinnula V, et al. VEGF and bFGF are highly expressed in intraluminal fibromyxoid lesions in bronchiolitis obliterans organizing pneumonia. J Pathol 2002; 196:220–227
- Wells AU. Cryptogenic organizing pneumonia. Semin Respir Crit Care Med 2001; 22: 449–459.
- Wright L, King TE. Cryptogenic organizing pneumonia (idiopathic bronchiolitis obliterans organizing pneumonia): an update. Clin Pulm Med 1997; 4:152–158.
- Alasaly K, Muller N, Ostrow DN, et al.Cryptogenic organizing pneumonia: a report of 25 cases and a review of the literature. Medicine (Baltimore) 1995; 74:201–211
- Schlesinger C, Koss MN. The organizing pneumonias: an update and review. Curr Opin Pulm Med 2005; 11:422–430
- Lazor R, Vandevenne A, Pelletier A, Leclerc P, Court-Fortune I, Cordier JF, and The Groupe d’Etudes et de Recherche sur les Maladles “Orphelines” Pulmonaires (GERM“O”P). Cryptogenic organizing pneumonia: characteristics of relapses in a series of 48 patients. Am J Respir Crit Care Med 2000;162: 571–577
- Emonard H, Takiya C, Dreze S et al. Interstitial collagenase (MMP-1), gelatinase (MMP-2) and stromelysin (MMP-3) released by human fibroblasts cultured on acellular sarcoid granulomas (sarcoid matrix complex, SMC). Matrix 1989; 9:382– 388 .
- Kobayashi I, Yamada M, Takahashi Y, et al. Interstitial lung disease associated with juvenile dermatomyositis: clinical features and efficacy of cyclosporine A. Rheumatology (Oxford) 2003; 42:371–374
- Laszlo A, Espolio Y, Auckenthaler A, et al. Azathioprine and low-dose corticosteroids for the treatment of cryptogenic organizing pneumonia in an older patient. J Am Geriatr Soc 2003; 51:433–434
- Purcell IF, Bourke SJ, Marshall SM. Cyclophosphamide in severe steroid- resistant bronchiolitis obliterans organizing pneumonia. Respir Med 1997;91: 175–177.
